


プログラミング、データサイエンス、医療工学を講義し、学生が考え、問題に主体的に取り組む習慣を育てます。研究は人工知能の医療応用で、診察や治療の補助、発症や治療の予後予測を進めています。これにより、都会や地方に関係なく、患者一人ひとりに最適なケアが提供され、医療の質が向上しています。
人工知能のpythonプログラミング、特に物体検出を目的とした画像処理やコンピュータビジョンなどの技術を学び、さらに医療分野との共同研究を通じて学際的なコミュニケーション能力が身につきます。
人工知能による骨盤骨折検出アルゴリズムの研究を進めています。高齢者の骨粗しょう症による骨盤骨折は自覚症状が少なく、専門医による診断が行われず見落としが多発しています。この研究で医師不足の地域やクリニック、夜間救急などでの骨折の見落としを防ぎます。将来的には全自動での検出も可能になるかもしれません。
人工知能のpythonプログラミング、特に識別・回帰を目的とした画像処理やコンピュータビジョンなどの技術を学び、さらに医療分野との共同研究を通じて学際的なコミュニケーション能力が身につきます。また、これからの医療の新しいトレンドとなる発症予測を実例から学ぶことができます。
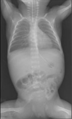
NICU(新生児集中治療室)内の未熟児の肺機能は未発達で、慢性肺疾患の発症リスクが高まります。この研究では生後直ぐの肺レントゲン画像から、36週時点での発症予測の研究を進めています。これにより、発症リスクが高い新生児には早期治療を始め、重症度の緩和や、発症を未然に防ぐことを目指しています。