


講義では、教科書に記述されている数式などを、なぜそのように定式化されるのか、背景からできるだけ詳しく講述しています。
研究では、専門家とのディスカッションを重視して進めています。特に、眼科や病理学についての共同研究では、医師の専門知識が不可欠であり、学生も疑問点を積極的に医師に質問し、その回答を自身の研究に取り入れています。
病理学とは、病気になった原因を探り、病気になった患者の身体に生じている変化がどのようなものであるかを研究する学問分野です。病理学、特にがん、腫瘍などの悪性新生物に関する知識とともに、深層学習に関わるプログラミング技術が得られます。
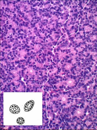
AI技術を基礎として、がんの成長過程をシミュレートします。がんは2人に1人が罹患する病気ですが、現在の医療技術をもってしても明らかになっていないことが多くあります。そこで,AI技術を活用し、がん細胞の成長過程を数理モデルにより近似させ、それらがどのように増殖していくかを解明します。図は膵臓がんを染色した標本画像ですが、その連なりを左下の模式図のようにモデル化し、その成長過程をシミュレートします。将来的にはコンピュータ上で、薬品の効能を確認するためのシミュレーションとして活用できます。
眼科は、高齢者が必ず通院することになる診療科の一つであり、特に白内障は国民病と言っても過言ではありません。眼科検査システムなどの精密機器に関する知識とともに、深層学習に関わるプログラミング技術が得られます。
AI技術を基礎として、眼科手術をサポートするシステムを開発します。眼内レンズ強膜内固定術とは白内障手術の最新の術式の1つです。ただし、施術数が少なく、その教育システムが強く求められています。そこで、教育システム開発の一環として、深層学習に基づくリアルタイム手術器具追跡の方法を開発します。一般に、眼科医は執刀時、自身の頭部に付けたカメラで手術患部を録画しています。まず、録画された手術動画を対象とし、次にリアルタイム追跡に移行させます。システム開発には模擬眼に対する手術動画を用います。図は手術中の1フレームです。